Cabinet des Docteurs GOOSSENS, LAICHOUBI et associés
DOCTEUR EN CHIRURGIE DENTAIRE
ACCUEIL
LE CABINET
INFORMATIONS PRATIQUES
URGENCES
FICHES CONSEILS
VIDEOS
PORTAIL PATIENT
CONTACT
Cabinet des Docteurs GOOSSENS, LAICHOUBI et associés
38 rue Aristide Briand
77100
MEAUX
+33160232933
DOCTEUR EN CHIRURGIE DENTAIRE
ACCUEIL
LE CABINET
INFORMATIONS PRATIQUES
URGENCES
FICHES CONSEILS
VIDEOS
PORTAIL PATIENT
CONTACT
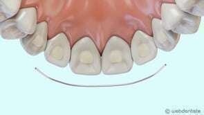
Fil de contention
Vidéos 3D
Partager
Twitter
Partager
Partager
Envoyer
Copier
Cabinet du Docteur Nicolas GOOSSENS
38 rue Aristide Briand
77100
MEAUX
+33160232933
POUR EN SAVOIR +
Politique de confidentialité et charte cookie
Mentions légales
Conditions Générales Utilisation
Charte déontologique
Ordre national
Annuaire des chirurgiens dentistes
NOUS REJOINDRE
38 rue Aristide Briand
77100
MEAUX
+33160232933
FICHES CONSEILS
ALIMENTS : ALLIÉS ET ENNEMIS
PRÉVENTION DES CARIES CHEZ L’ENFANT : LE SCELLEMENT DE SILLONS
LA PLAQUE DENTAIRE
LA POSE DE VERNIS FLUORÉ POUR LES ENFANTS ET LES JEUNES ADULTES DE 3 À 24 ANS
LES CONCENTRATIONS EN FLUOR DES EAUX MINÉRALES
LES GRINCEMENTS DE DENTS : LE BRUXISME
Rechercher dans le blog Blog
Création par
Connexion
Vidéo en cours de lecture